大家好,今天小编关注到一个比较有意思的话题,就是关于粉碎什么的问题,于是小编就整理了6个相关介绍粉碎什么的解答,让我们一起看看吧。
粉碎什么填空?
粉碎阴谋、粉碎谣言、粉碎梦想、粉碎障碍、粉碎计划、粉碎纸张
填空:阴谋,谣造,梦想,障碍,计划,纸张
造句1、我军彻底粉碎了敌人的猖狂反扑。
2、解放军已严阵以待,粉碎任何分裂祖国的图谋。
3、他将那本书撕得粉碎,天女散花般地撒向空中。
4、人民解放军磨砺以须,随时准备粉碎敌人的阴谋。
5、四人帮被粉碎了,结束了十年动乱,雨过天晴,迎来了明媚的春天。
粉碎敌人是什么意思?
粉碎敌人的含义很多,可以理解就是使敌人的阴谋不能得逞,例如,粉碎敌人的进攻解放区的计划。
也可以理解消灭敌人,打退敌人,例如,坚决消灭敌人,打退敌人,粉碎敌人的进攻。
粉碎叛卓什么意思?
粉碎叛卓是一个成语,意思是彻底打败叛逆的势力,使其无法再造成威胁或破坏。这个成语源自中国古代的历史典故,形容消灭叛乱或反叛行为,恢复社会秩序和稳定。它强调了对叛逆势力的彻底击败和摧毁,以确保社会的和谐与安宁。
在现代语境中,粉碎叛卓也可以用来形容打击犯罪团伙、恐怖组织或其他破坏性势力,以维护社会的安全和稳定。
粉碎叛卓是说复仇者里的台词吧?几个超级英雄里,绿巨人战斗力最强但也最容易失控,美国队长的意思就是让绿巨人随便海扁外星人想干啥干啥,smash的字面意思是打碎击溃。
什么叫粉碎呢?
粉碎就是把大的颗粒的东西弄碎或者弄成粉末,大的意思就是分解完整的意思。石灰就是有一句粉身碎骨全不怕,只留清白在人间就是把生石灰变成熟石灰粉末用于刷墙来提高房屋的美观和防腐等等。粉碎有专门的机器针对不同的东西用不同的机器来粉碎。
水泥凝固后再粉碎有什么用?
水泥块是过氧化氢分解的催化荆。 但小华认为,要证明水泥块粉碎可加速做催化剂,补充实验还是不足够,还需要再补充一个探究实验:水泥块的化学性质在反应前后是否改变。
将水泥块投入盛有过氧化氢溶液的试管中,发现试管立即产生大量气泡。由此,得出结论:水泥块的化学性质没变,仍然能加快过氧化氢的分解,它是过氧化氢分解的催化剂。
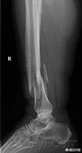
什么是粉碎性骨折?
从广义来说的话,就是一个碗摔碎了与摔的粉碎。从医学的角度来说,就是骨的连续性与完整性中断,且骨折块大于3块以上,这就叫粉碎性骨折。

想知道更多医学常识,请点击右上角关注。
粉碎性骨折肯定比斜行骨折、裂隙性骨折、青枝骨折.....等单程性骨折要严重的多,因为他是高能量损伤,且骨折不稳定,手法复位困难,所以基本上都需要要手术固定治疗。

骨折可以分为很多种类型,而粉碎性骨折是我们所见到的最多的一种骨折。所谓粉碎性骨折是指骨头的完整性以及连续性遭受到破坏,是一种比较严重的骨折。
引起粉碎性骨折的主因主要有两个:1、直接暴力:骨折发生在暴力直接的部位。如打架、撞伤等。多为开放性骨折,软组织损伤常较重,一般直接就可以感觉的出来。2、间接暴力:是指骨折距暴力接触点较远,也即是不是直接引起的。大多为闭合骨折,软组织损伤较轻。如从楼梯上摔下来时,用手撑了一下,带来手腕的扭伤,引起的粉碎性骨折等。
而引起粉碎性骨折的诱因就比较多了:
1、疾病引起:包括各种全身及局部的疾病,可使骨结构变脆弱,较小的外力即可诱发骨折。
2、积劳性劳损:长期、反复的集中在某一点作力,容易发生骨折。
3、年龄的关系,儿童骨质韧性大而硬度不足,易发生青枝骨折。老年骨质疏松,脆性大加上年龄大行走协调性差易发生骨折及股骨颈骨折,且骨折后不易愈合。
以上即是对于粉碎性骨折的简单介绍,以及对引起粉碎性骨折原因的介绍,希望对您有所帮助。
指导专家:马友盟(头条号:马友盟),中医副主任医师,广东省第二中医院麓景东中医针灸康复门诊。
专长:提出人体“模块”理论,并据此推理取穴,治疗脊柱及相关疾病,如:颈椎病,颈性眩晕,偏头痛,肩周炎,腰背疼痛,腰腿痛,膝关节疼痛等多种慢性疾病。
觉得本文有用,欢迎点赞或推荐给朋友,并关注【医联媒体】。
骨折一般分为线形骨折,错位骨折,还有粉碎性骨折。这几种骨折,以粉碎性骨折,最为严重。
即便是粉碎性骨折,也有轻重之分,根据骨折碎块的多少来确定骨折的损伤程度。
一般的线性骨折通过打石膏固定,就可以恢复。
错位骨折,需要校正后再打石膏固定,也可以很快恢复。
而粉碎性骨折需要做较大的手术。粉碎的碎骨块需要用骨钉,钢板,钢丝等固定好,再缝合,一般需要二次手术。
俗话说,伤筋动骨一百天。
打了石膏的腿,在床上躺着,日子是不好过啊,所以大家在办事,一定要小心啊,以免受伤。还有,在运动时一定要注意安全。
说到粉碎性骨折,我们就容易联想到车祸现场,那种触目惊心的惨象让人心惊肉跳,让人望而生畏。什么样的情况,才会造成粉碎性骨折呢?这个是不言而喻的,没有强大的外力因素影响,又怎么会出现这么严重的问题。最常见的原因就是车祸、滑雪、极限运动等。
骨折是各种原因导致的骨皮质的连续性和完整性中断,而粉碎性骨折就属于完全性骨折,是指骨质碎裂成三块以上。粉碎性骨折是非常严重的骨折,手术难度比较大。如果治疗不及时,手术不恰当容易遗留下问题。粉碎性骨折后遗症通常有以下几种情况:
一、四肢粉碎性骨折容易造成四肢外观畸形以及力线改变,影响到平衡感。
二、关节粉碎性骨折会造成关节僵硬、活动障碍、关节面不平整,后期导致创伤性关节炎,一到阴天下雨就会出现疼痛。
三、脊柱粉碎性骨折使脊柱平面支配神经损伤,造成截瘫、局部疼痛等,以后的人生,就可能在轮椅上度过。
因此,一旦出现粉碎性骨折,积极的治疗工作,是不可以缺少的。除了手术治疗外,在恢复过程中还要特别注意饮食调理。粉碎性骨折一般分为血肿机化演进期、原始骨痂形成期和骨骼改造塑形期三期。不同时期,采取不同的饮食结构,这样才有利于患者的康复,减少遗留问题的可能性。
血肿机化演进期,多食富含钙质、维生素、纤维素的食物,以防腹胀便秘。原始骨痂形成期和骨痂改造塑形期,应多食富含维生素D、胶原蛋白和高蛋白的食物,以促进组织的修复。在整个恢复过程中,良好的心态,也起着积极的作用。

点击页面下方【了解更多】可查看更多医师解答或免费向医师提问
关注“家庭医生在线”头条号,更多健康问答轻松看~~~
粉碎性骨折,一直以来被许多人所误解,今天我就为她恢复下“名声”。
粉碎性骨折什么样儿?

粉碎性骨折,听起来貌似很严重的样子。其实也没有大家想象的碎成了渣渣那种样子。 只是从定义上来讲就是骨折后骨块大于等于3块以上统称为粉碎性骨折。

粉碎性骨折严重吗?
单从字面理解上来讲,粉碎性骨折就已经比较复杂了,但是不能理解为这种骨折就严重。骨折治疗的终极目的就是骨头在正确的位置上长上愈合。所以骨折的严重程度主要跟它的复位和愈合相关。

1.复位
主要分为解剖复位和功能复位,简单的来说,解剖复位就是要求骨折对位严丝合缝,主要用于涉及关节面的骨折,比如踝关节骨折等;功能复位可以不要求片子上对位对线那么理想,只要满足正常的生物学力线即可,比如股骨干骨折等。因此,许多粉碎性骨折,如果不涉及到关节面的时候,其实并不那么严重,反而更好处理。
2.愈合
骨折愈合受到了很多因素的影响。单纯从骨折形态而言,粉碎性骨折由于接触面积较大,更容易愈合,因此不能理解,粉碎性骨折就是严重性骨折。
小结:粉碎性骨折不可怕,有时候可能恢复起来更快,及时就医,听从靠谱建议。
到此,以上就是小编对于粉碎什么的问题就介绍到这了,希望介绍关于粉碎什么的6点解答对大家有用。




还没有评论,来说两句吧...